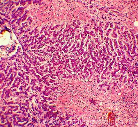
Мускатная печень Чем обусловлен такой рисунок п...
Песочное печенье из миндальной муки - 61 фото
Отзыв о Печенье Гороховецкая мануфактура "Мюсли...
Мюсличенье - купить с доставкой по выгодным цен...
Печенье из мюсли — пошаговый рецепт с фото и видео
Печенье - Приморский кондитер
Печенье LETI Мюсличенье с яблоком 110г купить п...
Печенье из мюсли — видео рецепт - YouTube
Печенье. Сладости мучные - ОАО "Булочно-кондите...
Новинка Печенье Мюсличенье печеные мюсли 500гр ...
Мускатная печень: что такое венозное полнокрови...
Мускатная печень рисунок (50 фото) скачать бесп...
Micelijum na pšenici - Mush Room
Мускатная печень рисунок (50 фото) скачать
Печенье-мюсли злаковое Любятово "Клюква и изюм"...
Отзыв о Печенье-мюсли Любятово | Грубое, но с ч...
микропрепараты
Миндальное печенье по-сицилийски
Рецепт: Печенье на майонезе на RussianFood.com
Печенье из мюсли без муки — рецепт с фото
Печенье злаковое «Мюсли» с шоколадом — Любятово
Печенье на майонезе. ТАК ПРОСТО И ВКУСНО - YouTube
Печенье «Мимоза» — Кулинарные рецепты с фото
Молочное печенье рассыпчатое без глютена! Печен...
Мускатная Печень Фото — Mixyfotos.ru
ПЕЧЕНЬЕ ИЗ МЮСЛИ - очень ВКУСНОЕ и БЫСТРОЕ в пр...
Печеночные мхи (строение) - YouTube
Пшеничная мука - презентация онлайн
Творожное печенье - рецепт приготовления, соста...
Мука пшеничная. Получение. Состав. Свойства - п...
Рецепт нашего детства: нежное рассыпчатое песоч...